Catarata

La catarata es la opacidad parcial o total del cristalino que tiene lugar con el envejecimiento.
→ Leer más

Desprendimiento de retina

El desprendimiento de retina consiste en la separación de la retina del resto de las capas externas del ojo, impidiendo su correcto funcionamiento y provocando una pérdida de visión.
→ Leer más

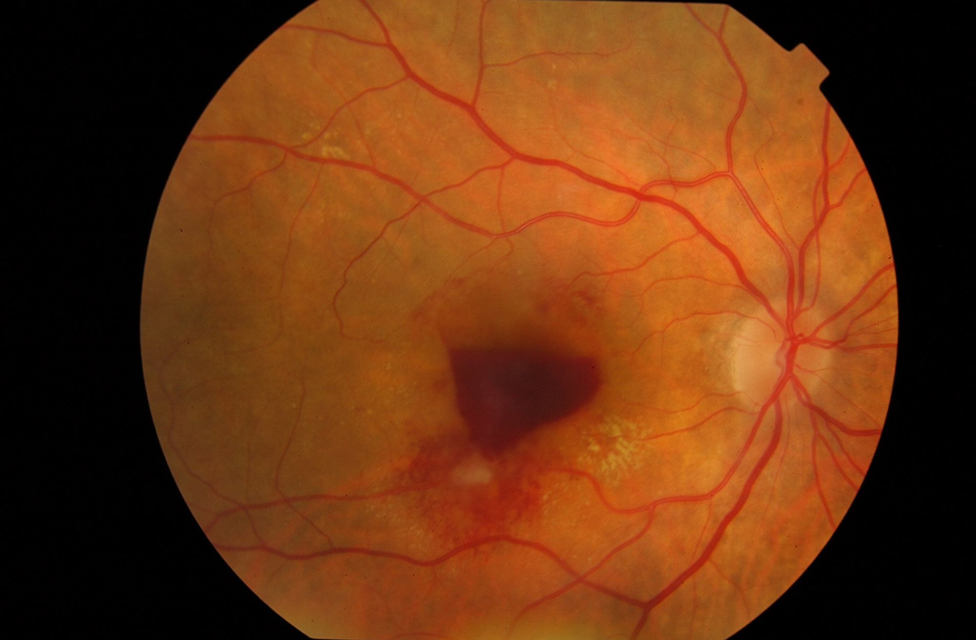
Hemorragia intraocular

Son varias las enfermedades que pueden dar un sangrado intraocular. Las más frecuentes son la retinopatía diabética, el desgarro retiniano, la degeneración macular asociada a la edad o un traumatismo ocular.
→ Leer más

Glaucoma Crónico

Es una enfermedad que daña las fibras del nervio óptico (neuropatía) dándole un aspecto característico y se acompaña por una alteración de la visión lenta pero irreversible.
→ Leer más

Revisión Oftalmológica Infantil

Se recomienda realizar una primera valoración oftalmológica a los 4 años. El objetivo principal de la revisión infantil es la detección precoz de una ambliopía u “ojo vago”.
→ Leer más

Moscas Volantes

Con el paso del tiempo, la transparencia del vítreo se modifica y aparecen condensaciones en su interior: las moscas volantes o cuerpos flotantes.
→ Leer más