Agujero macular
¿Qué es un agujero macular?
El agujero macular es una pérdida de tejido retiniano que se produce en la mácula (zona de la retina responsable de la visión central que permite distinguir detalles, reconocer las caras de las personas, leer, coser, ver la televisión, conducir o definir los colores). Son más frecuentes a partir de los 60 años y en mujeres.
La mayoría de agujeros maculares no tienen una causa conocida (Idiopáticos). Algunas veces son secundarios a traumatismos oculares o se asocian a grandes miopías.
¿Qué síntomas produce un agujero macular?
El agujero macular se forma progresivamente en semanas o meses. Al principio, el paciente nota una ligera alteración o distorsión visual. Las líneas rectas u objetos aparecen cada vez más ondulados o curvados y la pérdida de visión central aumenta. La lectura y las tareas cotidianas se vuelven difíciles.
¿Cómo se diagnostica un agujero macular?
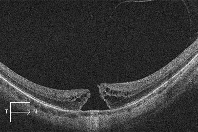
El agujero macular se diagnostica mediante un examen del fondo del ojo y la realización de una OCT.
OCT - Agujero macular
¿Cómo se trata un agujero macular?
La cirugía es el único tratamiento del agujero macular. Muy pocos agujeros maculares se cierran espontáneamente. La mayoría de casos requieren cirugía cuya finalidad es cerrar el agujero macular y recuperar visión.
¿En qué consiste la cirugía del agujero macular?
El procedimiento quirúrgico del agujero macular es la vitrectomía que consiste en retirar el humor vítreo para trabajar sobre la retina. Se realiza entonces un pelado de una fina capa de la retina (membrana limitante interna) y se introduce un gas dentro del ojo que contribuye en el cierre del agujero macular. Es una intervención no dolorosa que se hace bajo anestesia local (retrobulbar) y de forma ambulatoria.
OCT. Agujero macular antes de cirugía