Retinopatía diabética
¿Qué es la retinopatía diabética?
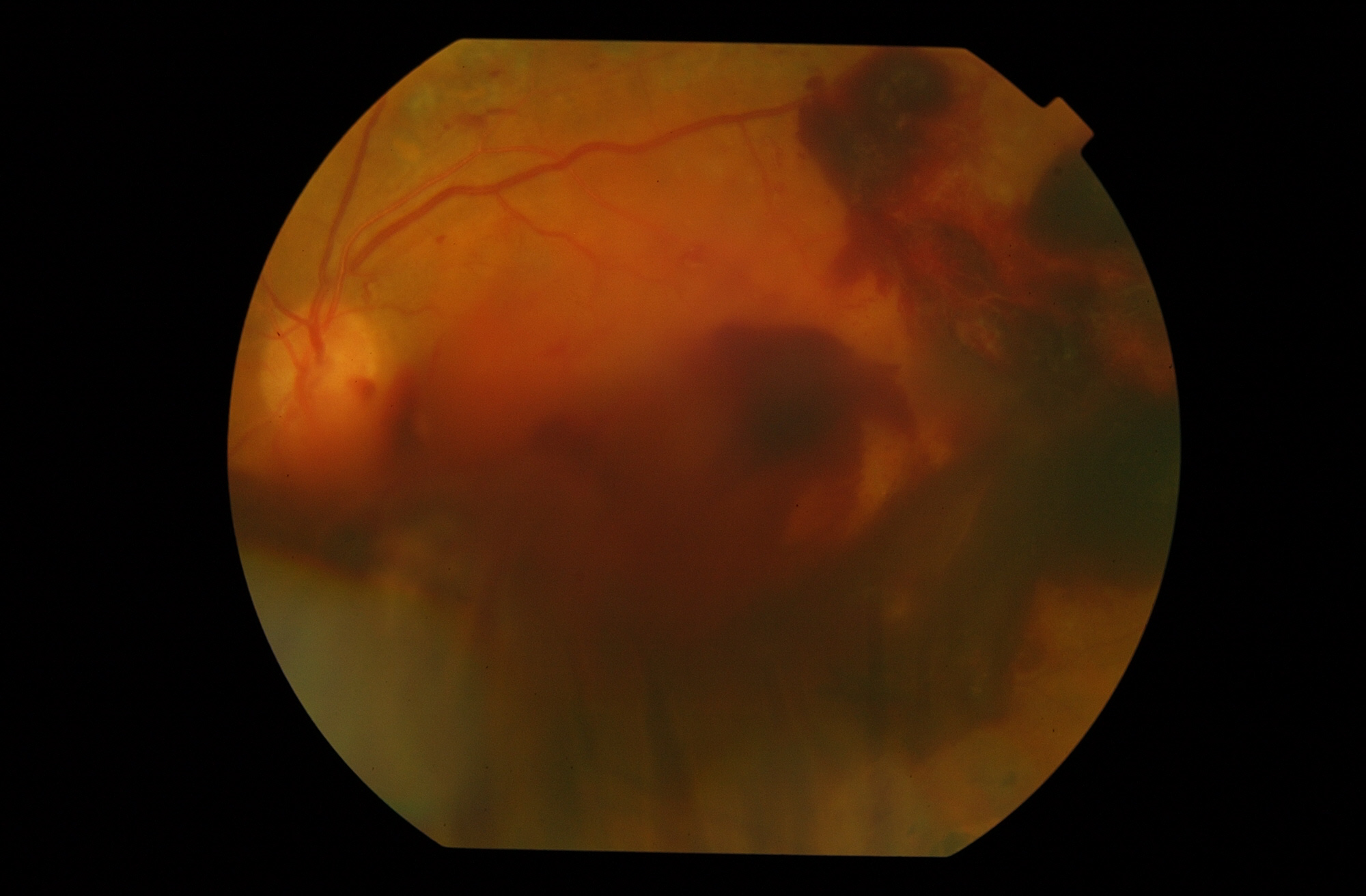
La Retinopatía Diabética es una enfermedad de la retina que aparece con el tiempo en casi todos los pacientes diabéticos. Se caracteriza por la presencia de múltiples lesiones en el fondo del ojo que pueden llevar a la ceguera.
¿Por qué aparece la retinopatía diabética?
La Retinopatía Diabética traduce el daño de los vasos sanguíneos de la retina cuando los nivelesde glucemia en sangre han sido altos durante un largo periodo de tiempo.
¿Qué síntomas produce la retinopatía diabética?
El paciente con retinopatía diabética puedeno tener síntomas hasta etapas muy avanzadas de la enfermedad. Por ello, es muy importante realizar controles periódicos del fondo del ojo.
Cuando la retinopatía diabética avanza el paciente puede empezar a ver moscas volantes o perder vista de forma brusca debido a sangrados dentro del ojo, desprendimiento de retina u otras complicaciones. Ante estos síntomas, el paciente diabético debe consultar rápidamente a su oftalmólogo.
Retinopatía diabética
¿Cómo se diagnostica la retinopatía diabética?
La retinopatía diabética se diagnostica mediante la exploración del fondo del ojo bajo dilatación pupilar. Su estudio puede completarse con la realización de una angiografía fluoresceínica y una tomografía de coherencia óptica (OCT) para descartar la presencia de un edema macular diabético. Las 3 pruebas son complementarias y permiten conocer mejor las características de Retinopatía Diabética y hacer un mejor enfoque terapéutico.
Retinopatía diabética
¿Cuándo debe hacer una revisión oftalmológica un paciente diabético?
La primera revisión oftalmológica debe hacerse en el momento en que el paciente es diagnosticado de diabetes. Los siguientes controles serán determinados por el oftalmólogo en función del grado de retinopatía, pero de forma general, se establece que todo paciente diabético con una duración de su diabetes de 5 años o más debe realizar un examen del fondo de ojo todos los años.
Ante la aparición de moscas volantes o pérdida súbita de visión, el paciente diabético tiene acudir rápidamente a su oftalmólogo.
¿Puedo prevenir la aparición de la Retinopatía Diabética?
El control de los niveles de glucosa en sangre, tensión arterial y otros factores de riesgo ha demostrado ser muy importante para prevenir la aparición de la Retinopatía Diabética. Por esta razón, es imprescindible realizar un seguimiento personalizado con el endocrinólogo y/o médico de cabecera.
¿Cómo se trata la Retinopatía Diabética?
En fases iniciales, las lesiones de la Retinopatía Diabética pueden llegar a desaparecer únicamente con el control de la glucosa en sangre por lo que no es necesario realizar un tratamiento ocular.
Pero cuando la enfermedad avanza, el papel del oftalmólogo es crucial para enfocar y realizar un tratamiento individualizado que detenga la progresión de la Retinopatía Diabética y su evolución hacia la ceguera. Los tratamientos oftalmológicos de la Retinopatía Diabética son la fotocoagulación retiniana con láser, las inyecciones intravítreas con antiangiogénicos y la microcirugía ocular (vitrectomía).
Retinopatía diabética antes del tratamiento